
Pubblicato il 12/09/2023
Tomografia Ottica Computerizzata (OCT) a Rozzano
La tomografia ottica computerizzata, meglio conosciuta come OCT, rappresenta oggi uno degli esami più avanzati nel campo dell’oftalmologia.
Che cos’è la tomografia ottica computerizzata (OCT)?
È una tecnica di diagnosi per immagini non invasiva, essenziale per analizzare le strutture oculari.
Si basa sull’interferometria a luce bianca o a bassa coerenza. Mediante un fascio laser privo di radiazioni nocive, è possibile ottenere sezioni ad alta risoluzione delle strutture oculari, soprattutto retiniche e corneali.
In termini semplici, quando due o più onde si sovrappongono, possono interferire tra loro, dando origine a un modello di interferenza. In pratica, si inviano fasci di luce nell’occhio e si osserva come questi fasci interferiscono tra loro quando si riflettono dalle diverse strutture oculari.
Questo permette di ottenere immagini chiare e dettagliate di parti dell’occhio come la retina o la cornea.
A cosa serve la Tomografia Ottica Computerizzata e perché farla?
È uno strumento essenziale nel campo oculistico e svolge molteplici funzioni:
- Diagnosi precoce: permette di identificare patologie come il glaucoma in una fase iniziale, spesso prima dell’apparizione di sintomi evidenti. La capacità di diagnosticare precocemente queste condizioni può tradursi in trattamenti tempestivi, minimizzando il rischio di complicanze a lungo termine.
- Monitoraggio delle patologie: essenziale per tracciare l’evoluzione di malattie oculari come la degenerazione maculare o la retinopatia diabetica. Permette ai medici di valutare l’efficacia delle terapie in atto e, se necessario, di adattare il trattamento in base ai cambiamenti osservati.
- Pianificazione chirurgica: fornisce immagini dettagliate delle strutture oculari, offrendo ai chirurghi informazioni preziose che aiutano nella pianificazione e nell’esecuzione dell’operazione.
Come si esegue la tomografia ottica?
Durante l’OCT, il paziente siede di fronte allo strumento e fissa una mira luminosa. L’esame dura solitamente almeno 20 minuti.
Grazie alle moderne tecnologie, l’esame può essere effettuato anche senza dilatazione della pupilla, rendendo la procedura più confortevole per il paziente.
Oltre alla sua funzione principale di acquisire immagini ad alta risoluzione delle sezioni trasversali della retina, l’OCT presente nel nostro centro delta Medica di Rozzano ha diverse altre capacità che la rendono uno strumento prezioso per gli oftalmologi:
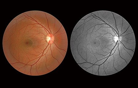
- Fotografia del fundus oculi a colori: L’OCT può catturare immagini a colori del fundus oculi, che è la parte posteriore interna dell’occhio. Questo permette agli oftalmologi di osservare e valutare la salute della retina, dei vasi sanguigni e del nervo ottico.
- Pachimetria: La pachimetria è la misurazione dello spessore della cornea. L’OCT può determinare con precisione lo spessore corneale, che è essenziale per la diagnosi e il monitoraggio di condizioni come il cheratocono e per la valutazione preoperatoria in pazienti che si sottopongono a chirurgia refrattiva.
- Analisi dell’angolo: L’angolo iridocorneale è la parte dell’occhio dove l’iride e la cornea si incontrano. È essenziale per il drenaggio del fluido intraoculare. Un angolo stretto può portare a condizioni come il glaucoma ad angolo chiuso. L’OCT può valutare e analizzare la struttura di questo angolo, permettendo una diagnosi precoce e accurata.
- Analisi del nervo ottico: Il nervo ottico è una parte cruciale dell’occhio, poiché trasmette le informazioni visive dalla retina al cervello. L’OCT può fornire immagini dettagliate del nervo ottico, permettendo agli oftalmologi di valutare la salute del nervo e di rilevare segni precoci di condizioni come il glaucoma.
Dove effettuare l’OCT a Rozzano?
Se necessiti di un esame OCT, puoi rivolgerti al centro Delta Medica Cerba HealthCare Italia, situato in Viale Toscana 35/37.
Telefono: +39 02999100 – info@cerbahealthcare.it
Indicazioni per raggiungere il centro
Oltre a visite e esami oculistici, offre un’ampia gamma di specializzazioni mediche, dalle analisi cliniche alla medicina dello sport e si distingue per un settore di radiologia completo, assicurando un approccio medico complessivo e multidisciplinare.
Orari e servizi del centro Delta Medica di Rozzano
Chi può sottoporsi all’OCT?
Sebbene sia un esame sicuro e non invasivo, ci sono alcune condizioni che potrebbero rendere meno efficace la procedura o influenzare la qualità delle immagini ottenute:
- Opacità dei mezzi diottrici: Pazienti con cataratta avanzata o altre condizioni che causano opacità significative nelle lenti dell’occhio potrebbero non ottenere immagini chiare con l’OCT.
- Gravi problemi al film lacrimale: Una superficie oculare asciutta o un film lacrimale instabile possono interferire con la qualità delle immagini.
- Incapacità di mantenere una posizione fissa: L’OCT richiede che il paziente rimanga immobile e fissa un punto durante la scansione. Pazienti con condizioni che causano movimenti involontari o difficoltà a mantenere lo sguardo fisso potrebbero non essere candidati ideali.
- Importanti deformità corneali: Anomalie significative nella forma o nella struttura della cornea possono rendere difficile ottenere scansioni accurate.
- Gravi infiammazioni o infezioni oculari: In presenza di infiammazioni o infezioni oculari acute, potrebbe essere consigliabile posticipare l’OCT fino a quando la condizione non si è risolta.
Come prenotare una tomografia ottica computerizzata a Rozzano
Segui questi passaggi per assicurarti un appuntamento:
- Vai alla pagina del centro Delta Medica di Rozzano qui.
- Clicca sul pulsante “Prenota” per avviare il processo.
- Dalla lista delle “PRESTAZIONI PRENOTABILI” in alto a sinistra, digita “tomografia ottica computerizza” e poi clicca su “prosegui” in basso a destra.
- Potremmo avere più centri nella stessa zona, quindi assicurati di selezionare quello più conveniente per te.
- Utilizza il calendario e l’orologio per selezionare una data e un orario che ti siano comodi.
- Indica il tuo sesso e l’età.
- Scegli una data disponibile che ti sia comoda.
- Fornisci tutte le informazioni personali necessarie per confermare la tua prenotazione.
Una volta completata la procedura, riceverai una conferma della tua prenotazione via email o SMS. [/button] Prenota qui l’esame OCT
Quanto costa un esame OCT a Rozzano?
Il costo standard per un esame OCT nel centro Delta Medica di Rozzano viene indicato durante la prenotazione.
Posso tornare alle mie attività normali dopo l’OCT?
Sì, l’OCT è un esame non invasivo e non ha un periodo di recupero.
Quanto spesso dovrei fare un esame OCT?
La frequenza dipende dalla condizione oculare e dalle raccomandazioni del medico. Per alcune patologie, potrebbe essere consigliato un monitoraggio regolare, mentre in altri casi potrebbe essere necessario solo occasionalmente.





